SPECIALITY
診療内容
- 一般眼科
-
結膜炎 / 麦粒腫 / 霰粒腫 / 眼瞼炎/ 翼状片 / 眼窩脂肪ヘルニア / ドライアイ / 角膜炎 / 角膜潰瘍 / 円錐角膜 / 睫毛乱生 / 鼻涙管狭窄症 / 屈折異常(近視・遠視・乱視・老視) / 眼精疲労・調節異常 / 眼外傷 / 白内障 / 後発白内障 / 緑内障など
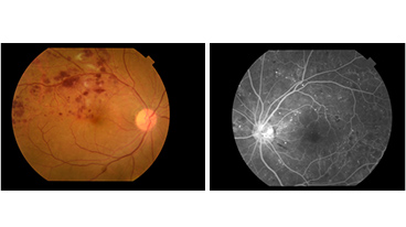
- 網膜硝子体疾患
-
糖尿病網膜症 / 加齢黄斑変性症 / 網膜動静脈閉塞症 / 網膜剥離 / 網膜色素変性症 / 黄斑上膜 / 黄斑浮腫 / 中心性漿液性網脈絡膜症 / クロロキン網膜症など
- 小児眼科
-
屈折異常(近視・遠視・乱視) / 弱視 / 斜視 / 色覚異常 / 結膜炎 / アレルギー性結膜炎 / 眼瞼炎 / 麦粒腫 / 霰粒腫 / 内反症 / 鼻涙管狭窄症・閉塞症など
- 神経眼科・ぶどう膜炎
-
眼瞼下垂 / 重症筋無力症 / 甲状腺眼症 / 視神経炎・視神経症 / 神経麻痺(動眼神経麻痺・滑車神経麻痺・外転神経麻痺・顔面神経麻痺) / 眼瞼痙攣 / サルコイドーシス / 原田病 / ベーチェット病 / ヘルペス性虹彩毛様体炎 / 強膜炎など










